嚙齒類動物試驗
免疫
服務簡介
發炎性腸道疾病 (Inflammatory Bowel Disease, IBD) 主要包含潰瘍性結腸炎 (Ulcerative colitis) 及克隆氏症 (Crohn's disease),症狀為腹瀉、腹痛、便血、體重減輕等。潰瘍性大腸炎多發生在結腸和直腸,發炎浸潤僅侵犯黏膜層,克隆氏症常影響整體消化道,發炎細胞浸潤侵犯腸道各層。可以依需求選用化學藥物 DSS 誘發的結腸炎動物模式,或 T 細胞移植誘發的自體免疫性腸炎動物模式,搭配血液學檢測、腸道組織病理學分析、糞便潛血反應、活體影像分析等項目,評估發炎性腸道疾病的藥效。
服務項目
試驗說明
小鼠餵食含 Dextran sulfate sodium (DSS) 的飲用水,約 3-4 天後出現下痢和體重減輕的病癥,於第 7 天達到試驗終點。本試驗,給予藥物後,利用體重變化、糞便潛血檢測、血液學檢測、腸道組織病理分析等技術,評估新藥療效。

試驗說明
移植帶有冷光的 T 細胞到免疫缺陷小鼠身上,從第 28 天開始出現下痢和體重明顯減輕的病癥,以活體影像分析觀察到冷光的強度隨著發病時間而增加,第 35 天組織病理分析結果發現腸黏膜層發炎浸潤現象。若在 T 細胞移植後第 15 天,給予皮質類固醇藥物,可緩解發炎病癥、且腸黏膜層發炎浸潤現象明顯改善。本試驗服務於第 15 天開始給予藥物後,利用活體影像技術,評估腸道炎症病程,於第 35 天進行腸道組織病理分析、免疫細胞分析、發炎指標測定等技術,評估新藥成效。

發炎性腸道疾病 (Inflammatory Bowel Disease, IBD) 主要包含潰瘍性結腸炎 (Ulcerative colitis) 及克隆氏症 (Crohn's disease),症狀為腹瀉、腹痛、便血、體重減輕等。潰瘍性大腸炎多發生在結腸和直腸,發炎浸潤僅侵犯黏膜層,克隆氏症常影響整體消化道,發炎細胞浸潤侵犯腸道各層。可以依需求選用化學藥物 DSS 誘發的結腸炎動物模式,或 T 細胞移植誘發的自體免疫性腸炎動物模式,搭配血液學檢測、腸道組織病理學分析、糞便潛血反應、活體影像分析等項目,評估發炎性腸道疾病的藥效。
服務項目
| 動物模式 |
潰瘍性結腸炎 (Ulcerative colitis) 動物模式:DSS誘發結直腸炎
|
| 分析項目 |
體重變化
糞便潛血檢測
血液學檢測
腸道組織病理學分析
血清細胞激素 (Cytokines) / 趨化因子 (Chemokines) 測定* (Milliplex)
*本項測試依視驗需求而訂
|
小鼠餵食含 Dextran sulfate sodium (DSS) 的飲用水,約 3-4 天後出現下痢和體重減輕的病癥,於第 7 天達到試驗終點。本試驗,給予藥物後,利用體重變化、糞便潛血檢測、血液學檢測、腸道組織病理分析等技術,評估新藥療效。

| 動物模式 |
克隆氏症 (Crohn's disease) 動物模式:T 細胞移植誘發自體免疫性腸炎 (Chen et al., 2016. Sci Rep 6, 35635.)
|
| 分析項目 |
體重變化
活體影像分析
腸道組織病理分析
免疫細胞分析
血清細胞激素 (Cytokines) / 趨化因子 (Chemokines) 測定* (Milliplex)
*本項測試依視驗需求而訂
|
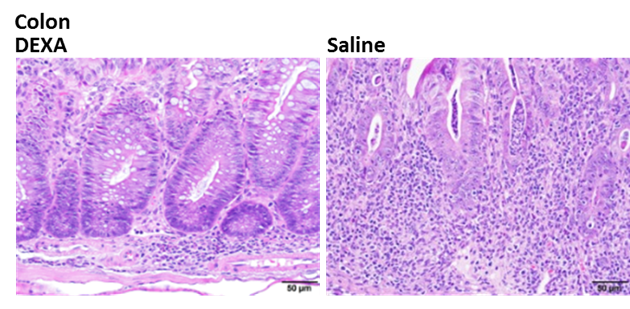
移植帶有冷光的 T 細胞到免疫缺陷小鼠身上,從第 28 天開始出現下痢和體重明顯減輕的病癥,以活體影像分析觀察到冷光的強度隨著發病時間而增加,第 35 天組織病理分析結果發現腸黏膜層發炎浸潤現象。若在 T 細胞移植後第 15 天,給予皮質類固醇藥物,可緩解發炎病癥、且腸黏膜層發炎浸潤現象明顯改善。本試驗服務於第 15 天開始給予藥物後,利用活體影像技術,評估腸道炎症病程,於第 35 天進行腸道組織病理分析、免疫細胞分析、發炎指標測定等技術,評估新藥成效。

冷光影像分析顯示,移植 T 細胞到免疫缺陷小鼠 15 天之後,冷光強度隨著病程加重而增加,而給予皮質類固醇藥物的小鼠冷光的強度明顯下降並減緩症狀。
移植 T 細胞到小鼠後第 35 天進行腸道組織病理分析,觀察到大腸黏膜層有發炎浸潤現象,若給予皮質類固醇藥物,則可明顯改善病癥。





